Before and After

No Jaw Surgery, Invisalign with Dr. McCoy for only 13 Months!

  • Patient was told by several orthodontists that she had to have jaw surgery and braces.
  • Dr. McCoy did Invisalign, no surgery, in only 13 Months!
  • Why suffer through surgery when Invisalign works so well in Dr. McCoy’s hands!
Before
After

Invisalign Case in Progress – other orthodontist said Invisalign would not work. Invisalign always works in Dr. McCoy’s hands!

  • Another orthodontist was talking jaw surgery and braces
  • No surgery, just Invisalign by DesignTM with Dr. McCoy!
  • Almost done. Just close some space and another happy patient is finished!
Before
After

Invisalign for 8 Months, Almost Done!

  • This is a 50 year old male who always thought he needed braces.
  • Accelerated Invisalign treatment with Dr. McCoy and we are almost done after only 8 months!
  • Patient’s sister in New York: her orthodontist never heard about how Dr. McCoy accelerates Invisalign treatment.
  • Patient’s sister flew in from New York to have Dr. McCoy accelerate her Invisalign treatment!
Before
After

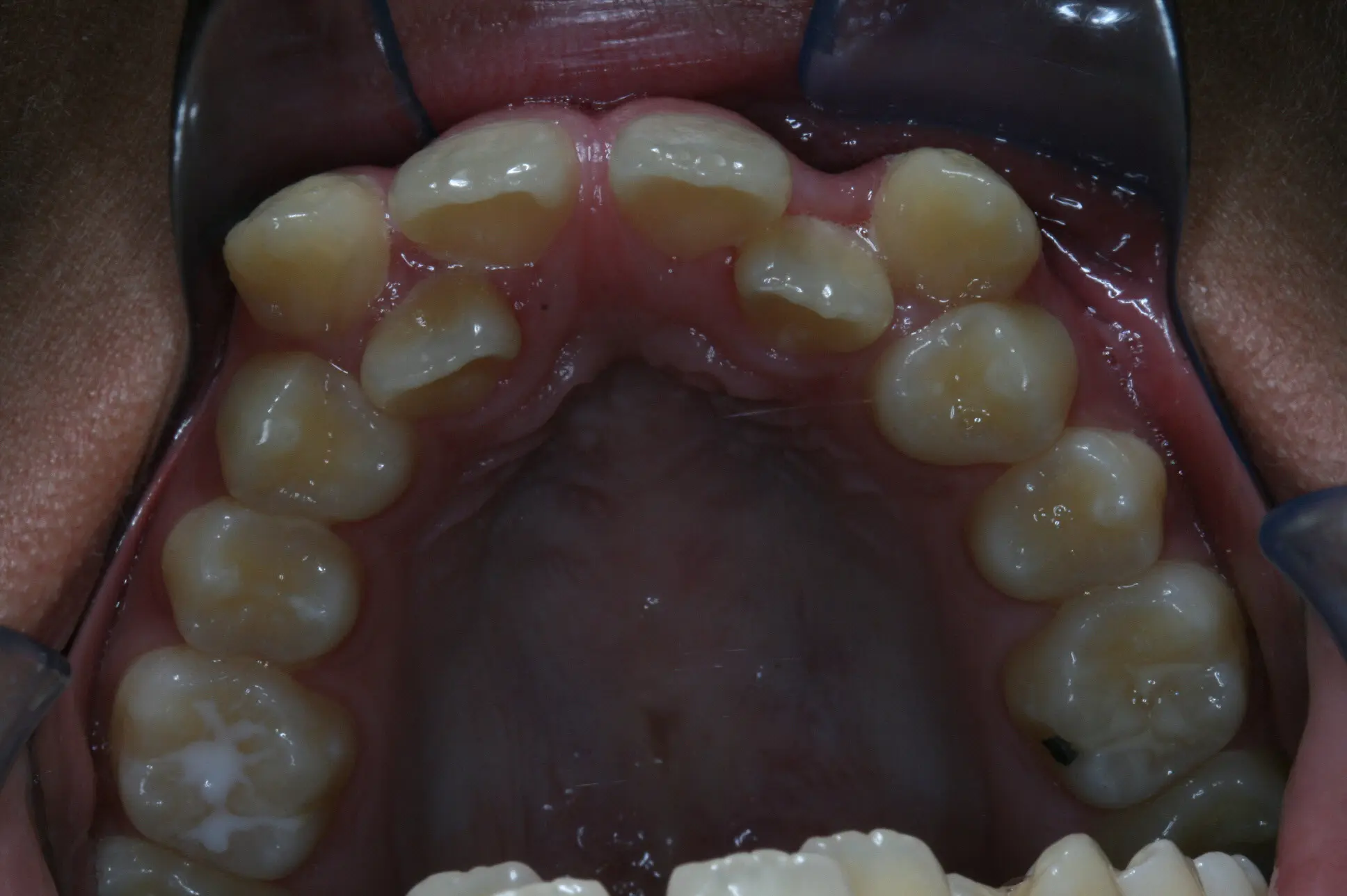
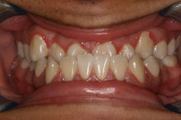
Invisalign Case 6 Months

Before
After

Invisalign Case 10 Months

Before
After

Braces Case #1

  • Several orthodontists said jaw surgery is required.
  • Dr. McCoy treated this patient without surgery!
  • Finally – our patient can eat a sandwich!
Before
After

Braces Case #2

Before
After

Braces Case #3

Before
After

Herbst Case (non-surgical correction of small lower jaw)

  • Other orthodontist wanted to extract two upper teeth.
  • But the patient’s real problem is a small lower jaw!
  • Why take out teeth?
  • Wear a simple appliance with your Invisalign to fix teeth AND jaw!
  • Dr. McCoy corrects your specific problem – he doesn’t mask it with tooth extractions!
Before
After

Herbst Case in Progress

  • This patient’s lower jaw was advanced with a Herbst appliance.
  • Their small lower jaw is now stable in this forward position.
  • Next, a quick finish with Dr. McCoy’s Invisalign treatment.
Before
After